Minor Surgeries
Expert surgical care under the mastery of our specialized Oral & Maxillofacial Surgeon. Painless, precise, and completely safe.
Painless Extraction
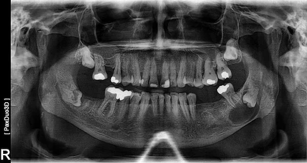
Wisdom Tooth Surgery
Wisdom teeth (third molars) are the last teeth to erupt in the mouth. Often, there isn't enough room in the jaw for them to grow properly, leading to impacted teeth that grow sideways or get trapped under the gums.
Impacted wisdom teeth can cause severe pain, swelling, infection, and damage to surrounding healthy teeth. Their removal requires precision and expertise to ensure a smooth recovery.
Performed by a Specialist
At Teeth and Faces, all complex extractions and impactions are performed exclusively by our MDS Oral & Maxillofacial Surgeon, Dr. Rahul Bagrecha, ensuring a quick, painless procedure and minimal post-operative discomfort.
Advanced Pathology
Jaw Cysts & Pathology
Cysts and tumors can occasionally form in the jawbone or soft tissues of the mouth. Early detection and expert surgical removal are crucial for maintaining the structural integrity of your jaw.
Thorough Diagnostics
We utilize advanced digital imaging (OPG and 3D scans) to accurately locate the cyst, determine its size, and plan a safe surgical approach to remove it safely.
Safe Enucleation
As an Oral & Maxillofacial Surgeon, Dr. Rahul Bagrecha is expertly trained in the complete enucleation (removal) of jaw cysts to ensure complete health.
Periodontal Therapy
Gum Surgeries
When gum disease progresses to an advanced stage (Periodontitis), routine cleaning is no longer enough. Plaque and tartar build up deep under the gums, causing the bone and tissue that support your teeth to break down.
To save your teeth, minor periodontal surgeries such as Flap Surgery or Gum Grafting may be required.
-
Deep Pocket Reduction
Folding back the gums to remove disease-causing bacteria deep at the root.
-
Frenectomy
A minor procedure to relieve tension from the connective tissue (frenum) in the lips or tongue.
Joint & Muscle Relief
TMJ Disorders
Do you experience jaw clicking, locking, or chronic facial pain?
The Temporomandibular Joint (TMJ) acts like a sliding hinge connecting your jawbone to your skull. TMJ disorders can cause severe pain in your jaw joint and in the muscles that control jaw movement.
Symptoms to Watch For:
- Pain or tenderness in the jaw
- Aching pain in and around your ear
- Difficulty or pain while chewing
- Jaw locking (unable to open/close mouth)
Expert Management:
As an Oral & Maxillofacial expert, Dr. Rahul Bagrecha specializes in the diagnosis and treatment of TMJ disorders. Treatment ranges from custom bite splints (night guards) and muscle relaxants to advanced joint therapies depending on the severity of your case.
Emergency & Reconstructive Care
Facial Bone Fractures
Accidents, sports injuries, and falls can result in significant trauma to the face, leading to fractured jawbones, broken teeth, and soft tissue injuries.
Treating facial trauma requires a deep understanding of both aesthetics and function. The goal is to repair the bone structure to ensure the patient's bite (occlusion) is perfectly restored while minimizing scarring and facial deformity.
Maxillofacial Expertise
Oral and Maxillofacial Surgery acts as a bridge between medicine and dentistry. Dr. Rahul Bagrecha is extensively trained in emergency facial trauma care, capable of performing complex jaw fracture repairs and reconstructive surgeries to restore both health and appearance.
Need Surgical Expertise?
Consult with our MDS Oral Surgeon for safe, painless, and expert treatment.
