Curative Treatments
Restore your teeth to their natural strength and beauty. We specialize in painless, advanced treatments for decay, infection, and gum disease.
Invisible Restoration
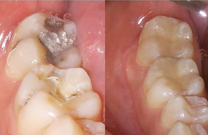
Tooth Color Fillings
At Teeth and Faces Dental clinic, tooth-coloured dental fillings are done to restore teeth that have been damaged by tooth decay or injury.
The cleaning and shaping of teeth prior to the filling is done meticulously. Different types of tooth filling materials are used for different types of cavities in various locations of the teeth, viz. Light cure composite resins, Glass ionomer cements, and laboratory fabricated fillings (inlays/onlays) made of ceramic, composite, or zirconia.
Direct Restoration
Done in the tooth directly. Direct restorations are usually tooth-coloured cavity fillings done in a single appointment for adults as well as children to restore teeth damaged by decay. Light cure composite resins and glass ionomer cement fillings come in this category. We purposely avoid amalgam restorations to keep our clinic and patients mercury-free.
Indirect Restoration
Fabricated outside the mouth in a laboratory to be cemented in the next appointment. Commonly known as Inlays and Onlays, these are specifically used where damage is extensive. They are highly durable restorations made from porcelain, metal, or composite resin. Porcelain is the material of choice because of its immense strength and perfect color match.
Your Tooth Savior
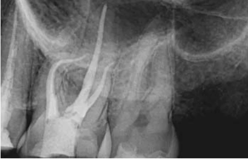
Root Canal Treatment
Root canal treatment is most commonly a painless procedure that will preserve your tooth and keep the structure from getting more damaged due to infection and trauma.
In a nutshell, a root canal is actually your tooth's savior. The name itself implies that it is a treatment of the roots of the tooth, and more specifically in the canal portion of the root where the nerve, blood vessels, and connective tissue reside.
When do you need it?
A root canal treatment is performed when your tooth is badly decayed and is touching the canals of the root. This can be very painful or sometimes painless too. RCT is also performed on a traumatised/fractured tooth which may or may not be decayed.
The procedure is done under local anaesthesia after which it becomes completely painless. The dentist removes all the decayed part, cleans the canals thoroughly using advanced rotary instruments and apex locators, and finally fills the canals with gutta-percha, dental cement, and seals it with a crown.
Periodontal Health
Treatment for Gum Diseases
Do you complain of bad breath or bleeding gums?
See a dentist to find out what's wrong—it can be easily treated. Gum disease can be caused by a number of factors, but poor oral hygiene is the most common cause. Not brushing your teeth properly causes plaque to build up on your teeth.
Gingivitis (Early Stage)
A mild form of gum disease which causes swollen and bleeding gums. This condition can be reversed by going to a dentist and getting teeth cleaned professionally (scaling and polishing) followed by regular use of dental floss and brushing.
Periodontitis (Advanced Stage)
When this condition worsens it leads to periodontitis, which causes receding gums, loss of bone, and detachment of the gingiva from the tooth. At this stage you require a minor surgical procedure called Flap Surgery, where a dentist will clean the teeth thoroughly from deep inside the gums and provide sutures.
Teeth and Faces Dental Clinic
& Implant Center
Don't ignore dental pain or bleeding gums. Get expert care today.
