Expert Implant Solutions
Architectural precision in tooth replacement. Select a service below to explore our advanced techniques for restoring your smile's health.
Restoring Individual Harmony
Single Tooth Replacement
If you are missing a single tooth, one implant and a crown can replace it. A dental implant replaces both the lost natural tooth and its root.
In addition to looking and functioning like a natural tooth, a dental implant replaces a single tooth without sacrificing the health of neighboring teeth.
Unlike a traditional bridge which requires adjacent teeth to be ground down, dental implants integrate with your jawbone, helping to keep the bone healthy and intact.
Strength for Multiple Teeth
Implant Supported Bridge
"An implant-supported bridge is similar to a regular dental bridge, but it is supported by implants and not by natural teeth."
Sometimes when there are more than 2 teeth missing together and it becomes difficult to give a tooth supported bridge as the support of the adjacent teeth may be less. Dental implants become the better option for such type of edentulism.
It also may be used when your dentist is concerned about clenching or grinding. An implant-supported bridge reduces the pressure on the individual implants in the bone, and spreads it across the entire bridge.
Clinical Case Progression
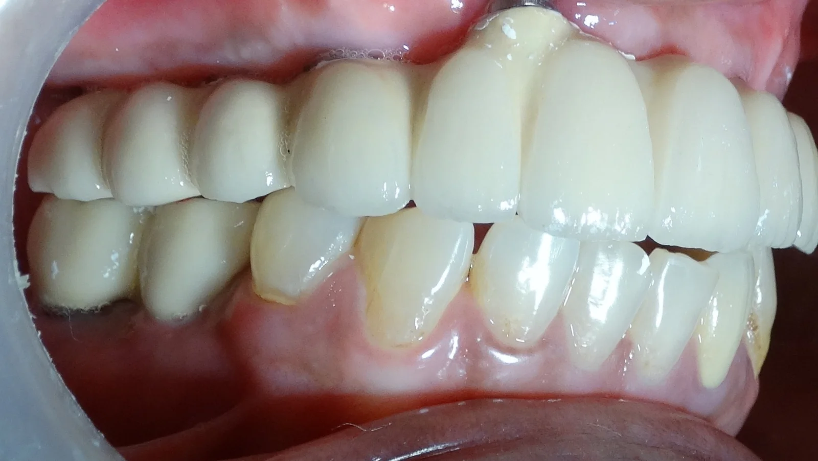
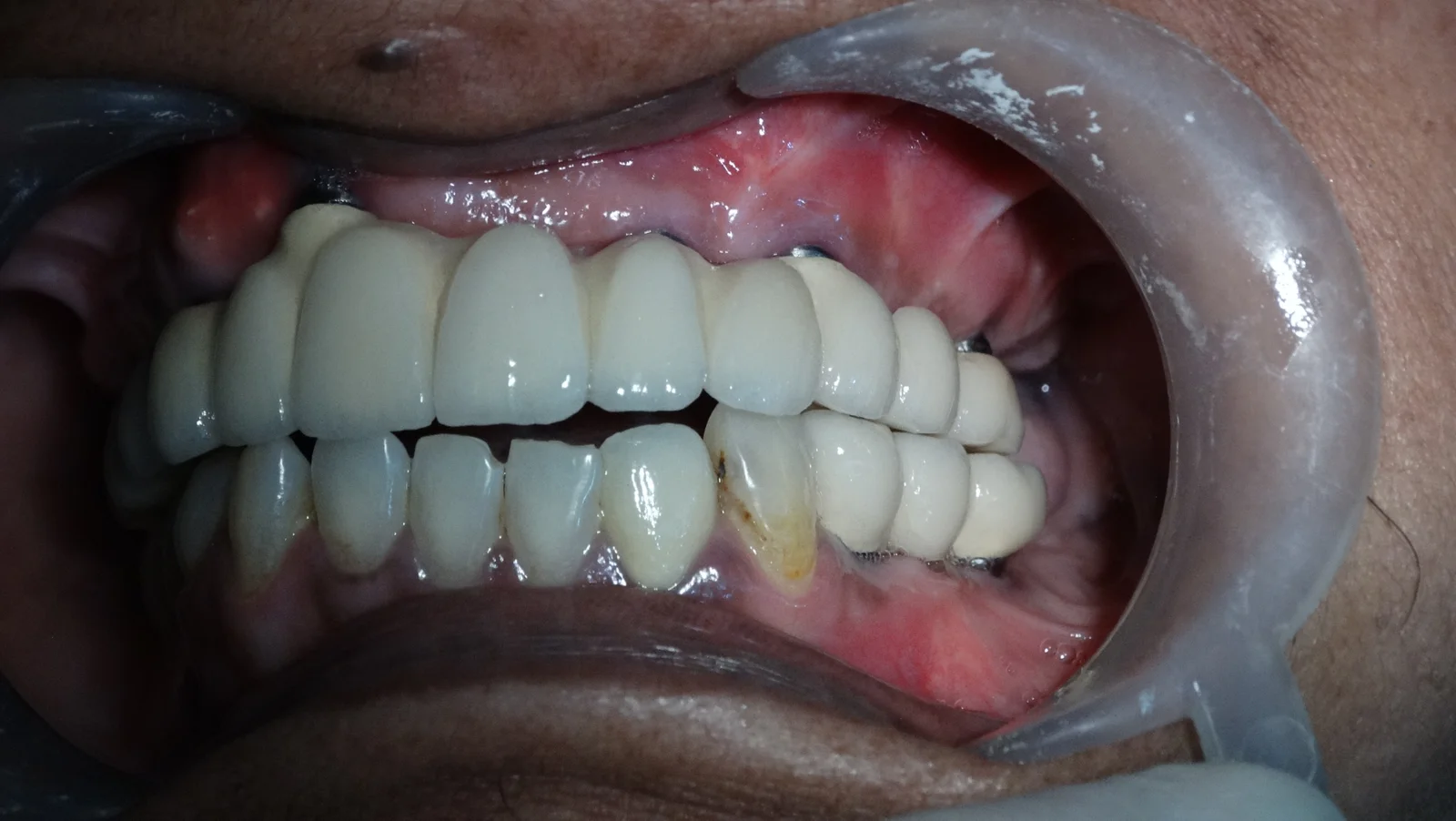
Full Mouth Rehabilitation
Implant Supported Fixed Teeth
Replacing all missing teeth with a permanent, fixed prosthesis that mimics the look, feel, and function of natural teeth. Explore our clinical transformations below.
Revolutionary Technique
All on Four Implants
What is All on Four?
All On Four is a new concept in implantology, where we can replace all the teeth with fixed prosthesis with the help of FOUR implants in each jaw.
Why it works
This is particularly used in patients with severe bone loss where conventional implants cannot be placed. It avoids lengthy Sinus Lift surgeries.
Cost Efficiency
It eliminates the need for bone substitutes and reduces the number of implants, making full-mouth restoration more accessible and faster.
Elite Implantology
Zygomatic Implants
A Specialist Job.
MDS Surgical Mastery
Zygomatic implants are an advanced implant technique where they are fixed to the Zygomatic arch for the upper jaw.
Eliminating the use of bone grafts, these implants allow you to get the prosthesis within 24 to 72 hours, unlike conventional implants that require months of waiting.
Exclusively Performed By:
- Dental Implant Specialists
- Oral Maxillofacial Surgeons
Zygomatic Clinical Cases
Prosthodontic Excellence
Implant Supported Removable Dentures
These dentures are retained or snapped upon the dental implants but can be removed by the patient. The benefit of these dentures are the stability and retention, offering far more efficient chewing than conventional bone-supported dentures.
As a Prosthodontist, Dr. Neha Bagrecha ensures that even when bone is excessively resorbed, putting dental implants preserves the jaw bone and gives a comfortable prosthesis.
Removable Dentures Case Progression
Advanced Surgical Care
Complex Implant Rehabilitation
For patients with severe bone loss, prior implant failures, or highly compromised jaw structures, conventional implants may not be sufficient. Complex implant rehabilitation involves advanced surgical interventions to rebuild the foundation of your smile.
Using a multi-disciplinary approach, we restore not just your teeth, but the underlying bone structure and facial aesthetics, giving you back full chewing function and confidence.
- Sinus Lifts & Bone Grafting
- Nerve Repositioning
- Management of Failed Implants
Surgical Mastery
Under the expert care of our Oral & Maxillofacial Surgeon, Dr. Rahul Bagrecha, even the most challenging anatomical conditions can be successfully treated with precision and safety.
Teeth and Faces Dental Clinic
& Implant Center
Visit us to know more about the best suited replacement for you.
