Advanced Esthetic Dentistry
Transform your confidence with a flawless smile. Discover our custom laminates, veneers, and complete smile design solutions.
Perfect Your Smile
Beautification of Front Teeth
Need a beautiful smile?
If you have a discoloured tooth, broken tooth, gaps between the teeth and you want to change the smile line, there are different options available to achieve them:
- Composite Laminates
- Ceramic Veneers
- Bleaching
Discuss with the dentist to find the option which is best suited for you. We provide personalized cosmetic solutions tailored to your unique facial structure.
Chair-side Enhancements
Composite Laminates
Dr. Neha Bagrecha
Prosthodontist & Cosmetic Dentist
Dental veneers or composite laminates are thin, custom-made shells of tooth-coloured materials designed to cover the front surface of teeth to improve your appearance. These shells are bonded to the front of the teeth changing their colour, shape, size, or length.
Fast & Direct Application
It is prepared chair-side directly by the dentist using composite resin. Hence it takes lesser time to get fabricated and the procedure can be performed in a single visit.
You will need to discuss the best choice of veneer material for you with your dentist. At Teeth and Faces Dental Clinic, Dr. Neha Bagrecha is our expert Prosthodontist and Cosmetic Dentist.
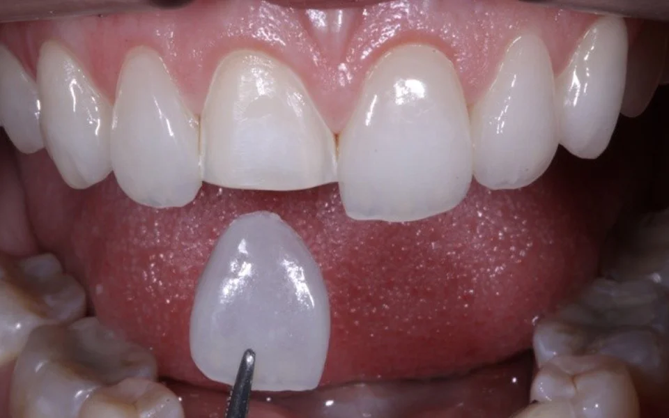
Premium Porcelain Veneers
Ceramic Laminates
"Dental veneers (sometimes called porcelain veneers or dental porcelain laminates) are wafer-thin, custom-made shells designed to cover the front surface of teeth to improve your appearance."
Porcelain veneers resist stains better than resin veneers and better mimic the light-reflecting properties of natural teeth.
It is a conservative approach to make your teeth look more beautiful in terms of size, shape, color, and alignment. At Teeth and Faces, Dr. Neha Bagrecha will help you choose the best veneer material.
When to choose a dental veneer?
-
Teeth that are discolored — either because of root canal treatment, stains from tetracycline or other drugs, excessive fluoride, or large resin fillings that have discolored the tooth.
-
Teeth that are chipped or broken.
-
Teeth that are misaligned, uneven, or irregularly shaped (for example, have craters or bulges in them).
-
Teeth with gaps between them (to close the space between these teeth).
Complete Esthetic Transformation
Smile Design
Do you have discoloured teeth, broken chips, misaligned teeth, gaps between the teeth, or a bad smile affecting your confidence and personality? Do you hope for a better smile?
The easy and fast solution for this is SMILE DESIGN.
Dentists at Teeth and Faces Kharadi Pune can give you the best cosmetic solution for your smile, expertly led by Dr. Neha Bagrecha, Prosthodontist and Cosmetic Dentist.
Teeth Whitening
Over a period of time your teeth can become yellowish or stained due to different reasons. Teeth whitening procedures at Teeth and Faces provides you a long lasting bright smile. A light activated gel is applied to your teeth which can give you the desired lighter shade which suits your face the best.
Veneers & Thineers
Veneers are small, thin custom made covers for your teeth. We offer two types:
- 1. Direct Veneers: Made of composites, these are cheaper alternatives mostly used to correct small defects directly in the chair.
- 2. Indirect Veneers: Porcelain veneers made in a lab over two sittings. They are strong, long-lasting, and created carefully in a shade chosen to perfectly match or brighten your natural appearance.
Teeth and Faces Dental Clinic
& Implant Center
Visit us for an expert consultation and specialized cosmetic care.
